広島県安芸郡熊野町川角1丁目6-15
お問い合わせ・ご相談
| 診療時間 | 月 | 火 | 水 | 木 | 金 | 土 |
|---|---|---|---|---|---|---|
| AM 9:00~12:00 | 〇 | 〇 | 〇 | ― | 〇 | 〇 |
| PM 1:30~6:30 | 〇 | 〇 | 〇 | ― | 〇 | △ 2:00迄 |
【診療日】
月曜日、火曜日、水曜日、金曜日、土曜日
(土曜日のみ午後2:00迄)
【休診日】
木曜日、日曜日、祝日
祝日のある週の木曜日は診療します)
〒731-4223 広島県安芸郡熊野町川角1丁目6-15
歯科医院は『痛くなったら行く所』でした。
しかし、現在では『痛くならないようにするために行く所』と変わってきています。
すなわち、『治療』から『予防』へ変わってきたということです。
その結果、80歳以上で20本以上の歯が残っている人がかなり増えています。
それにより平均寿命も長くなり、90歳を過ぎても元気に生活されている方が多くいらっしゃいます。
高齢になっても歯の数が多く残っているということは元気でいる源でもあります。
若いころから継続して歯のメンテナンスを行うことが大切です。

「全ての治療が終わりましたので次回より定期的にメンテナンスにお越しください」と、患者様へお伝えします。
やっと治療が終わったのになぜ?
定期的に来ないといけないの?
痛いところはないのになぜ?
と、思われる方も多いことでしょう。
全ての治療の最後はクリーニングを行います。虫歯や歯周病の治療を終え、最後のクリーニングで歯垢(プラーク)や歯石も取り、お口の状態を正常な状態に戻します。
ところが、ご自身の歯磨きだけではこの正常な状態を維持することは困難なことです。3カ月もすると磨き残しによる汚れが増え、歯石も付いている方、歯茎の腫れや出血もある方、中には虫歯ができている方もいらっしゃいます。お口の中は再び虫歯や歯周病になりやすい状態へと後戻りしています。
だからこそ、定期的に正常な状態へ戻すメンテナンスを行う必要があるのです。毎日の歯磨きと歯科医院でのメンテナンスを両立することでお口の中の健康を長期的に維持することができます。また、虫歯や歯周病を早期に発見することもできます。
1か月~6カ月ごとにお越しください。
期間は、お口の状態、糖尿病などの既往症等を考慮してご提案いたします。

治療を始める前に、その日の体調・既往症・服用されているお薬・お口の中で気になっていることなどをお伺いいたします。治療に対するご希望がございましたらお申しつけください。
虫歯の有無や口腔内の状態を確認します。

歯周病の進行具合を把握するため、歯と歯茎の境目の溝(歯周ポケット)の深さを測定します。
プローブという器具のメモリで深さを測ります。
同時に出血や排膿の有無、歯の動揺度も確認します。
歯垢染色液(レッドコート)により磨き残しを確認します。
磨き残しが赤く染まり磨きにくい部分を視覚的に確認することができます。
磨いているかではなく磨けているかの確認となります。
必要に応じて磨き方の指導も行います。
スケーリング
ポリッシング
歯の表面に付いている歯垢(プラーク)や歯石を取るスケーリングを行い、フッ素配合の研磨剤で歯の表面をツルツルに磨きます(ポリッシング)。
毎日の歯磨きだけでは取れない磨き残しや歯石を取り除き汚れが付きにくい状態にします。
歯ブラシでもう一度磨きます。歯を磨く時の力のかかり具合を感じてください。
歯が削れるほど強く磨く必要はありません。
最後に歯と歯の間に取り残しがないかをフロスを通して確認します。
被せ物や詰め物が欠けていたり外れかかっている場合はフロスに引っ掛かりがあるため発見することができます。

ご希望の方にはガムマッサージを行います。
とても気持ちがいいとご好評いただいております。
お口の中からお口周辺の筋肉や歯茎をマッサージすることで以下の効果があります。
歯周病が進行し歯茎の腫れがある方には、柔らかい極細の歯ブラシで歯茎のマッサージを行います。
虫歯の有無や歯周病の状態を歯科医師が確認します。
口腔内検査で発見した虫歯や歯周病の確認・前回までの治療後の経過確認のためレントゲンを撮る場合があります。

検査結果の説明と磨き方やセルフケアグッズ(フロス・歯間ブラシなど)の使い方のアドバイスを行います。
お帰りの際には、検査結果の用紙と使用した歯ブラシ(ご希望の方)をお渡しいたします。

位相差顕微鏡
歯周病菌の有無や量、細菌の動きを見ることができます。
患者様ご自身の歯に付着している汚れを採取して調べます。
メンテナンス時に必要に応じて行いますがご希望される方は問診時にお声がけください。

2種類の大きさの歯ブラシを用意してございます

お好きな色の歯ブラシをお子様にお選びいただきます。
クリーン歯科では歯ブラシの使いまわしは一切行っておりません。
お帰りの際は歯ブラシをお持ち帰りください。

汚れが残っているところにフッ素を塗布しても汚れと共に塗布したフッ素はすぐに取れてしまいます。ガーゼや脱脂綿で汚れを拭くだけでは歯の間や細かい隙間に汚れが残ったままの状態です。
当院では歯垢染色液で汚れを染め、汚れが残らないようにしっかり磨きます。
大きなお子様には歯垢染色液で染まった汚れを鏡で見ながら歯磨きの指導を同時に行います。

小さなお子様は歯ブラシでフッ素を隅々まで塗布します。
塗布後30分、飲食はお控えください。

大きなお子様はイオン導入にてフッ素塗布を行います。
フッ素を染み込ませたトレーを上下3分ずつ噛み、体に感じない程度の弱い電流を流すことで歯面塗布法の5倍以上のフッ素を取り込むことができます。
塗布後、飲食もすぐに可能です。

フッ素塗布を行ったから安心ではありません。
ご家庭でも毎日歯磨きを行ってください。特に夜は時間をかけて行い、歯磨きを上手にできるまで(少なくとも小学校3,4年生頃まで)は保護者の方の仕上げ磨きをご継続ください。

失った歯を補うための治療法でブリッジが適用されない場合に行います。
保険適用と保険適用外との選択ができます。
歯の本数は体や心の健康に大きく影響を与えます。例えば、奥歯がほとんどなく前歯のみで食事をする場合、食べ物をかみ切ることはできても細かく砕いて飲み込みやすいようにすることができず、食べられないものが多く出てきます。その状態が続くとフレイル(加齢により心身が衰えた状態)となり介護を必要とするようになります。長く健康でいるためには失った歯を放置せず補ってしっかり食事をとることが大切です。
1.部分入れ歯(パーシャルデンチャー)
失った歯が1本から残っている歯が1本までの作製が可能です。
残っている歯に金属(クラスプ)をかけて使用します。
メリット
デメリット
長年の研究により当院独自の製法で吸着性の高い入れ歯が作製できます
表面
裏面
装着時
メリット
デメリット

金属はチタン・コバルトクロムのいずれかを選択してください
メリット
デメリット
※保険適用の入れ歯では得られない、温かいもの冷たいものを感じて食事を取りたいと思われる方へお勧めします。保険適用の入れ歯で満足を得られなかった場合はご相談ください。

保険適用の部分入れ歯では金属が見えて見た目が悪いというデメリットがあり、金属を使用しない見た目の良い部分入れ歯が保険適用外ではあります。
しかし、修理の難しさやそれにかかる費用、保険適用の部分入れ歯と同様の残った歯への負担等を考慮するとお勧めできるほどの費用対効果はないと当院では考え、現在のところ取り扱ってはおりません。

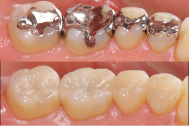
審美治療とは歯の白さやきれいな歯並びのように見た目の美しさを重視した歯科治療のことです。
保険適用外の素材を用いるため保険外診療となります。
保険診療で詰め物や被せ物に用いる素材は歯科用のプラスチック素材か銀色の金属素材となります。話したり笑ったりした場合に金属が見えたり、プラスチックは変色したりと見た目の審美性に欠ける、汚れも付きやすいという欠点があります。
その欠点を補うことができるのが審美治療です。金属を白い歯に変えることで見た目がぐっと変わります。


| 名称・金額 | イメージ | 素材 | メリット | デメリット |
|---|---|---|---|---|
| ジルコニアボンド 124,300円税込 印象時 62,150円税込 セット時 62,150円税込 |
![]() |
白いジルコニア(人工ダイヤモンド) にセラミック(陶磁器)を 焼き付けたもの |
|
|
| フルジルコニア 80,300円税込 印象時 40,150円税込 セット時 40,150円税込 |
![]() |
100%ジルコニア (人工ダイヤモンド)のもの |
自然な白色
|
|
| 硬質レジン前装冠 保険適用 |
![]() |
銀、パラジウムなどを使った 金属の表面にレジン (プラスチック)を張り付けたもの |
|
|
| 名称・金額 | イメージ | 素材 | メリット | デメリット |
|---|---|---|---|---|
| ジルコニアボンド 124,300円税込 印象時 62,150円税込 セット時 62,150円税込 |
![]() |
白いジルコニア(人工ダイヤモンド) にセラミック(陶磁器)を 焼き付けたもの |
|
|
| フルジルコニア 80,300円税込 印象時 40,150円税込 セット時 40,150円 |
![]() |
100%ジルコニア (人工ダイヤモンド)のもの |
自然な白色
|
|
| 金銀 パラジウム 合金 保険適用 |
![]() |
銀、パラジウムなどを使った銀合金 |
|
|
| 名称・金額 | イメージ | 素材 | メリット | デメリット |
|---|---|---|---|---|
| オールセラミック 41,800円税込 印象時 20,900円税込 セット時 20,900円税込 |
![]() |
100%セラミック(陶磁器)のもの |
|
|
| ハイブリッド 30,800円税込 印象時 15,400円税込 セット時 15,400円税込 |
![]() |
セラミック(陶磁器)と レジン(プラスチック)を 混ぜたもの |
|
|
| 金銀 パラジウム 合金保険適用 |
![]() |
銀、パラジウムなどを使った銀合金 |
|
|
| 名称・金額 | イメージ | 素材 | メリット | デメリット |
|---|---|---|---|---|
| チタン床義歯 330,000円税込 印象時 165,000円税込 セット時 165,000円税込 |
![]() |
義歯床にチタンを使用 |
|
|
| コバルトクロム床義歯 275,000円税込 印象時 137,500円税込 セット時 137,500円税込 |
![]() |
義歯床にコバルトクロムを使用 |
|
|
| プラスチック義歯総入れ歯 保険適用 |
![]() |
義歯床にプラスチックを使用 |
|
|
| プラスチック義歯部分入れ歯 保険適用 |
![]() |
義歯床にプラスチックを使用 |
|
|

歯が痛い、入れ歯が壊れた、だけど歯科医院へ通うことができない・・・
そのような患者様へご自宅や施設にクリーン歯科の歯科医師とスタッフがお伺いし治療を行います。
当院は「日本訪問歯科協会」へ加盟しています。
ご予約は当院では”なくコールセンターへおかけください。
TEL:0120-86-4159
FAX:0120-199-505
※予約受付 月曜日~金曜日 9:00~20:00
詳しくは日本訪問歯科協会の「訪問歯科を申し込む」をご覧ください。
日本訪問歯科協会ホームページを見る
当院より訪問日時のご連絡をいたします。
歯科医師とスタッフがお伺いいたします。
車を止めるスペースの確保をお願いいたします。
診療にはご家族かケアマネジャー様の付き添いをお願いいたします。
病気や障害で歯科医院への通院が困難な方
火曜日・水曜日・金曜日 9:00~17:00 ご都合の悪い場合はご相談ください。
当院より半径16㎞圏内
熊野町・呉市・安芸区・広島市の一部・海田町・坂町・東広島市の一部
ご自宅・高齢者施設等・歯科のない医療機関
健康保険適用可
介護保険適用可(担当のケアマネジャー様にご相談ください)
生活保護適用可
必要ありません。
診療時にはご家族かケアマネジャー様の付き添いをお願いいたします。
診療には当院よりお持ちした機材を使用するため電源をお借りいたします。